Enhance Your Study Sessions with These Top Meditation and Affirmation...
Looking to boost your focus and productivity during study sessions? Discover the top meditation and affirmation apps that can help you stay centered and...
Unlocking the power of Omega-3 during pregnancy
Being pregnant is a remarkable journey filled with numerous physical and emotional changes. Nutrition is one of the more important topics when you are...
1 in 11 people press snooze at LEAST 5 times each...
The survey revealed that 66% of those who hit snooze said they do so once or twice each morning, and a quarter (25%) press snooze between three and four times daily. A...
These popular health foods don’t count towards your five a day
Britons hoping to hit their five fruit and veg a day target have been warned about seven surprising foods which fail to make the...
What are liver-friendly foods and why they’re important in a diet
The liver is a vital organ responsible for many essential functions in the human body. It metabolizes nutrients, detoxifies harmful substances, stores important compounds,...
The Science of Confidence: Cosmetic Dentistry and Self-Assurance
In the modern age, self-assurance is more than a mere trait; it's an essential quality that paves the way for personal and professional success....
The dangers of using your right ear for phone calls
Answering Calls with Your Right Ear Could Cause Brain Damage
The Right Ear Predicament
Before we dive into the potential risks, let's consider why so many...
How HBOT Provides Relief for Many Health Problems
HBOT or hyperbaric oxygen therapy has brought relief and provided succor to many sick people, much to the dismay of medical professionals. HBOT is...
Foods to get your vitamin D in
Brits are being encouraged to include vitamin D-rich foods in their diets to boost their immune system and overall health during winter months.
Health and...
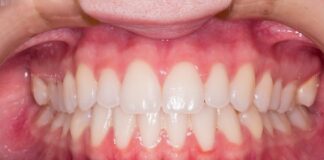
5 Reasons to Consider Teeth Whitening According to Super Smile Dental
Everyone loves a radiant smile, but not all of us are blessed with pearly white teeth. As a leading private dentist Cardif, Super Smile...
These popular health foods don’t count towards your five a day
Britons hoping to hit their five fruit and veg a day target have been warned about seven surprising foods which fail to make the...
Your cold could leave you with a nasty fine this autumn
Drivers have been warned they could be breaking the law if out on the roads after taking cold and flu medicine this autumn.
Motoring experts...
7 health problems that can be triggered by turning the heating...
While it's important to stay warm in winter, central heating can have a negative effect on our health, especially for those with existing health...
Disordered eating and men: 25% of individuals with eating disorders in...
Eating disorders have long been associated with women, but the reality is more complex. The stark statistics reveal a significant gap, with eating disorders...
Tennis ball hack that can STOP SNORING
SLEEP EXPERTS REVEAL TOP TIPS ON HOW TO STOP SNORING WITHOUT BREAKING THE BANK
Snoring can be a big problem for yourself and your...
8 out of 10 employers believe workplace menopause support is important
A new survey from workplace experts Acas has found that more than eight out ten employers (81%) believe it is important for businesses to...
Foods to fight sugar cravings
Sweet toothed Brits are being given advice on the best foods to snack on to fight their sugar cravings.
Health and nutrition experts from Prepped Pots...
The Role of Urologists in Fertility Treatment: Options for Male and...
Fertility issues affect a significant portion of the population, with both men and women equally vulnerable to conditions that can impede their ability to...
1 in 5 Women Believe That Their Employer Doesn’t Support Menopause...
The survey revealed that:
31%, almost a third, of women believe that menopause or menstruation negatively impacts their work.
32%, almost a third of...
1 in 5 Brits keep ED diagnosis a secret from their...
A third of those aged 18-24 have experienced symptoms of ED
One in 10 men have not told their partner they are on...
91% of Brits Clueless About This Surprising Male Fertility Sign!
A third of those aged 18-24 have experienced symptoms of ED
One in 10 men have not told their partner they are on...
Welsh Residents Struggle with Back Pain: 78% Face Ongoing Discomfort according...
Back pain is an issue sweeping Wales, as a surging number report suffering with aches and pains, in a recent report from the British...
Stripe A Pose with Cancer Research Wales for World...
Wales' only independent cancer research charity, Cancer Research Wales, is urging people to 'Stripe a Pose' and support world-class cancer research on World Cancer Research Day, which takes place this year on...
Cricket Icon, Lord ‘Beefy’ Botham, Inspires Brits to Embrace a Healthier...
Ian Botham Says Move More To Save The NHS
“Look, if you don’t stay active, you get old very quickly. Whether you’re getting up a...
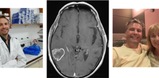
Super sponge’ innovation brings treatment hope to brain cancer patients
Scientists in Cardiff have been awarded a £500,000 grant to fund ground-breaking research which could bring much-needed hope to patients diagnosed with the most...
National cancer charity Cancer Support UK partners with The Wellbeing Project
New partnership will tackle increasing numbers of people needing support while facing cancer in the workplace
Cancer Support UK is delighted to announce its new...
National Eye Health Week
Dear editor
With the number of people living with sight loss in Wales estimated to hit 133,000 within the next 10 years, it’s never been...
Ten thousand organ donors recognised over a decade for saving more...
Ten thousand organ donors, who...
MOBILE HEART SCREENING COMING TO YOUR AREA
Calon Heart Screening and Defibrillators is excited and proud to announce that, with the help of Loteri Cymru funding, our long-awaited Mobile Heart Screening is...
New college programmes to meet surge in demand for beauty professionals...
COLEG CAMBRIA launched new complementary therapy programmes to help meet a surge in demand for highly trained health and beauty professionals.
Ahead of the opening...
Mae Coleg Cambria wedi lansio rhaglenni therapïau cyflenwol newydd i helpu...
Cyn agor yr adeilad iechyd a llesiant gwerth £14 miliwn y flwyddyn nesaf, mae safle Iâl y Coleg yn Wrecsam wedi lansio Diplomâu Lefel...
High-risk but high-reward research tackling hardest-to-treat cancers receives funding boost
Four projects exploring pioneering techniques – including artificial intelligence – to tackle cancers with poor survival rates
Each team granted £500k to drive...
Five foods that could give you bad body odour
Brits are being warned their favourite foods could be contributing to bad body odour.
Health and nutrition experts at Prepped Pots powered by MuscleFood have revealed how...
Mae Coleg Cambria yn uno cymunedau trwy chwaraeon ac ymarfer corff.
Gan ganolbwyntio ar iechyd a llesiant, mae’r coleg – sydd wedi’i leoli yng Nglannau Dyfrdwy, Wrecsam, Llysfasi a Llaneurgain – wedi cynnal digwyddiadau i...
Thousands benefit from college community health and fitness sessions
COLEG CAMBRIA is uniting communities through sports and exercise.
With a focus on health and wellbeing, the college – based in Deeside, Wrexham, Llysfasi and...
REVEALED: Wales is the region most critical of recent NHS changes
Over two-thirds (68%) of respondents believe that recent NHS changes do NOT benefit them
Over half (52%) would like to see more same-day...
“On your Bike” – get Pedalling!
For the month of July 2023, Rural Health and Care Wales (RHCW), in association with The Great Outdoor Gym Company (TGOGC), will be holding...
Heart Screening Dates
HEART SCREENING SLOTS AVAILABLE
- £180 PER SCREENING
Calon Heart Screening is pleased to offer Heart Screening sessions to
everyone over the age of 16 in the...
Grassroots Football Defibrillator Scheme Massively Oversubscribed After Fabrice Muamba Support
Grassroots football scheme sees 4K applications for 100 free defibrillators
Soccer stars have generated excellent awareness at a grassroots level, driving demand
...
Charity report shines a spotlight onto the divide between rich and...
Analysis shows that seven out of 10 people from the poorest households surveyed in Wales had seen a deterioration in their condition over the...
Experts reveal six reasons why you should eat your breakfast outdoors...
With higher temperatures set to return in the UK in the coming days, it's important that Brits make the most of spending time outdoors whilst...
More than six million Brits risk having to pay medical bills...
More than six million Brits could be missing out on their right to cheap or free emergency medical care abroad after a dramatic fall...
National Psoriasis Awareness Month: How CBD Oil is Being Used for...
From psoriasis to eczma and acne - medical cannabis expert explains why over one in five Brits use CBD at least once a day
This month...
Busting the Myths: The Real Facts About Cycling
Paul Swinnerton - Owner of Swinnerton Cycles, former pro ex british cyclist has added comments regarding some of the biggest cycling myths
Cycling enthusiasts worldwide...
The most googled summer health myths baffling the nation most
Medical experts reveal the most misunderstood medical terms... and explain what they really mean
Brand new research conducted by Qunomedical reveals some of the most...
Deallusrwydd artiffisial yn helpu i ganfod achosion o ganser yng Nghymru
Mae deallusrwydd artiffisial yn newid y ffordd y gwneir diagnosis o achosion posibl o ganser y prostad a chanser y fron yng Nghymru.
Yn sgil...
Adroddiad arbennig ar gyfer gwasanaeth ymateb cymunedol Llesiant Delta
Mae gwasanaeth ymateb cymunedol Llesiant Delta wedi derbyn adroddiad arbennig yn dilyn ei arolygiad blynyddol gan Arolygiaeth Gofal Cymru (AGC).
Fel rheoleiddiwr annibynnol gofal cymdeithasol...
Ramblers Cymru welcomes Leanne Wood as their new Ambassador, championing access...
Leanne brings a wealth of knowledge and enthusiasm to her new role. As a long-standing advocate for equality and social justice, she has been...
Turkey Teeth: Experts debunk medical terms patients still get WRONG
Medical experts reveal the most misunderstood medical terms... and explain what they really mean
Brand new research conducted by Qunomedical reveals some of the most...
What is sofa yoga? Expert shares how to incorporate new fitness...
What is sofa yoga? Expert shares how to incorporate new fitness trend into your wellness routine
From exercise to affirmations, people are always looking for new...































































